HOME
クリニック紹介
院長紹介
診療時間
アクセス
インプラント
治療の流れ
インプラント
治療の種類
オールオン4・6
サイナスリフト
ソケットリフト
GBR法
保証内容と
料金表
症例BLOG
2026.04.14更新
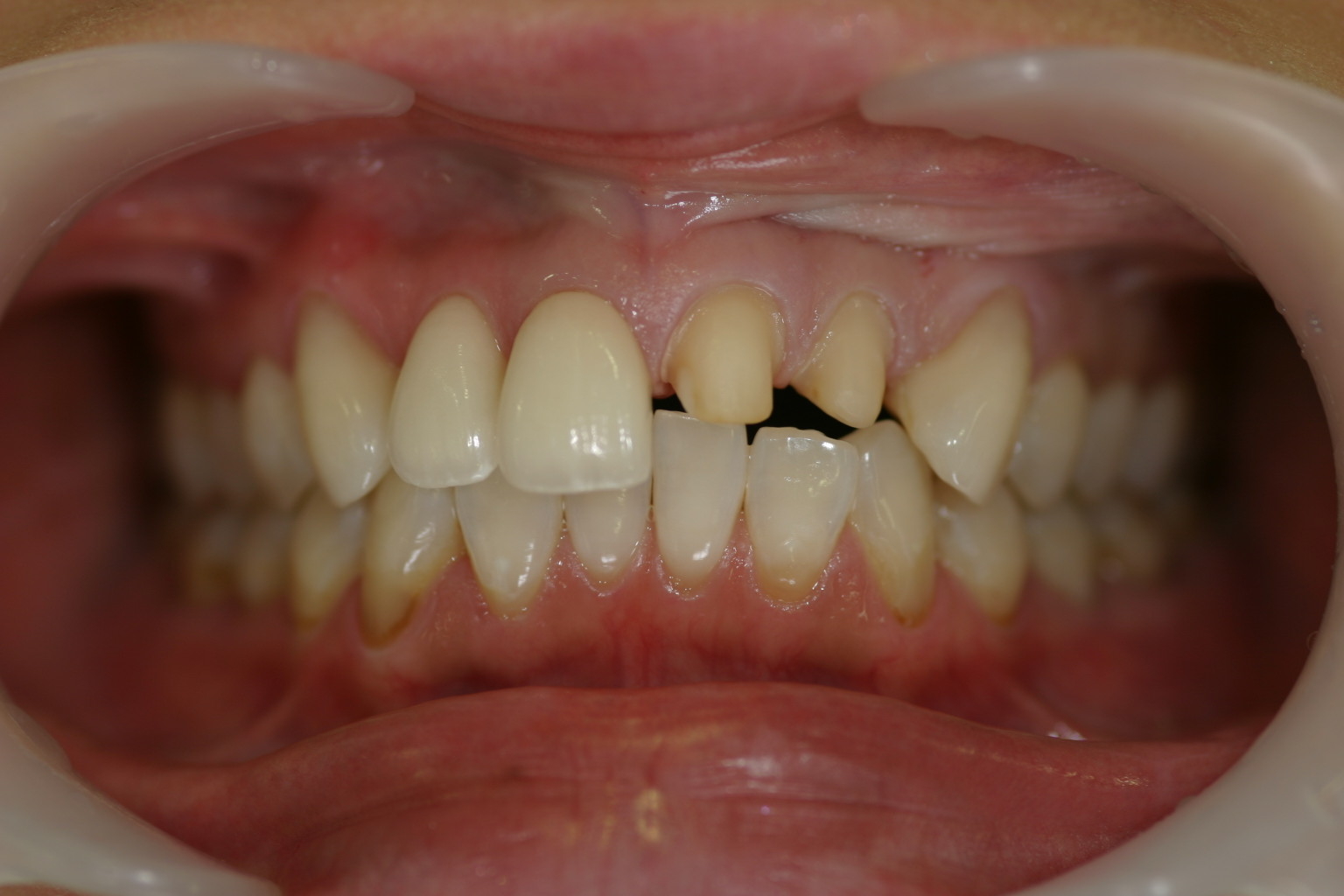
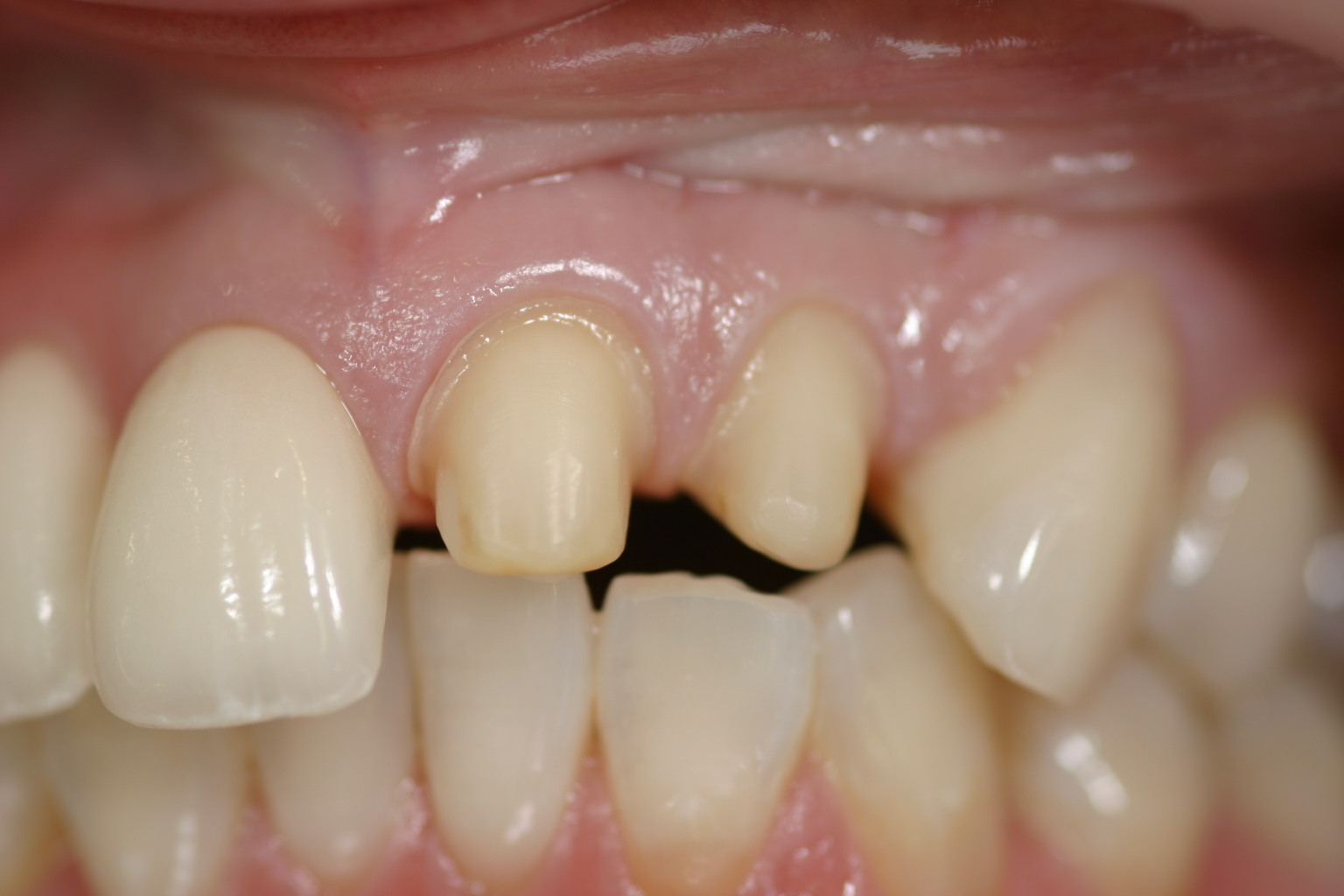
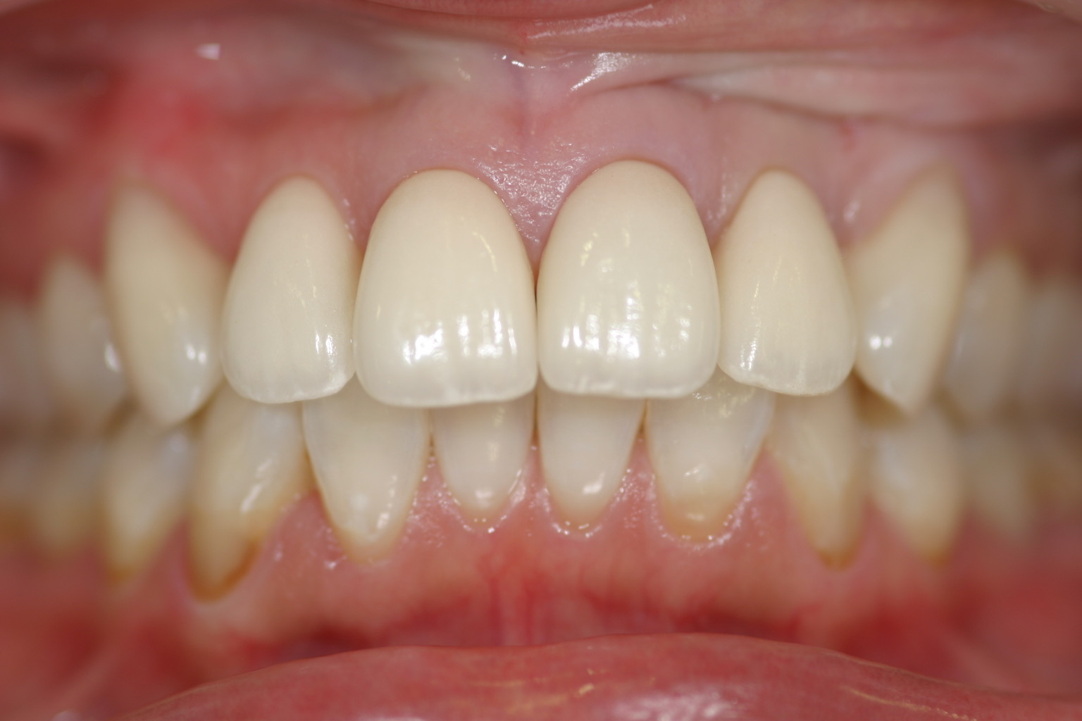
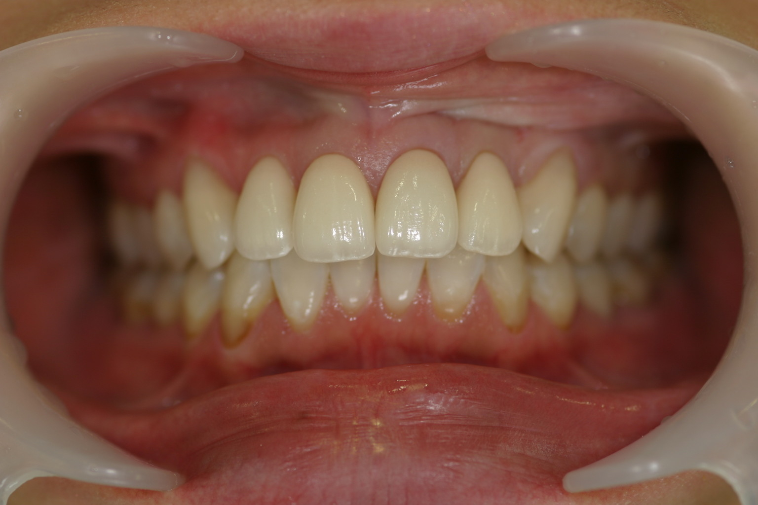
上顎前歯部ジルコニアセラミッククラウン装着
投稿者:
箕面インプラント
ARTICLE
上顎前歯部ジルコニアセラミッククラウン装着
左下567番インプラントジルコニアアバットメント及びジルコニアセラミッククラウン装着
左下6番インプラント上部構造装着
上顎前歯ダイレクトボンディング術前術後
左下67番 インプラント上部構造装着
SEARCH
ARCHIVE
2026年04月
(9)
2019年10月
(1)
2019年05月
(1)
2019年03月
(3)
CATEGORY
阪急箕面線「箕面」駅から徒歩5分。お気軽にご相談・ご予約下さい!